Общество
Актуални новини от Общество. Посетете нашата секция с новини от Общество Сега!
17.12.2017
Новият игумен на Бачковския манастир архимандрит Самуил встъпи в длъжност
Новият игумен на Бачковския манастир архимандрит Самуил встъпи в длъжност със специална ...
17.12.2017
Болницата в Курило - най-тъжното място на Коледа...
Най-тъжното място на Коледа е психиатрията! Думите са на директора на държавната психиатрична ...
17.12.2017
Георги Милчев-Годжи стана татко на момиченце
Георги Милчев-Годжи стана татко на момиченце, съобщи „Зов нюз“. Новината потвърди ...
17.12.2017
Вагон-бюфет ще пътува с теснолинейката всеки ден
Вагон-бюфет ще пътува от днес всекидневно с легендарния влак „Родопи“ по линията ...
17.12.2017
Започва Ханука - празникът на светлината
Еврейските общности по целия свят започват осемдневен празник - Ханука - празникът ...
17.12.2017
Снимка на Григор сред най-силните за 2017-а
Снимка на Григор Димитров, на която държи трофея от финалния Мастърс в Лондон, попадна ...
17.12.2017
В деня на пророк Даниил празнуват родилките (ВИДЕО)
На 17 декември православната църква почита Св. пророк Даниил.
Св. Даниил е един от четиримата ...
17.12.2017
Нов метод предотвратява затлъстяване
Учени от Нюйоркския университет установиха, че изкуственото стимулиране на неврони ...
17.12.2017
Пентагонът призна: В продължение на години разследвал сигнали за НЛО
Министерството на отбраната на САЩ потвърди, че от 2007 до 2012 г. е съществувала програма, ...
16.12.2017
Плодовете и зеленчуците осигуряват психическото здраве на децата
Децата с правилен режим на хранене са по-щастливи, могат добре да се самооценяват и ...
16.12.2017
Футболен агент разкри какъв руски отбор може да поеме Стоилов
Българският футболен специалист Станимир Стоилов може да поеме отбор на руската Премиер ...
16.12.2017
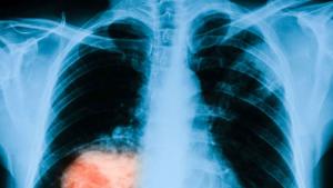
Триизмерна "пътна карта" улеснява откриването на белодробен рак
Сингапурски специалисти са разработили и тествали нова процедура, която помага на ...
16.12.2017
Врачани отбелязаха година от кончината на Врачанския митрополит Калиник
Днес врачани се събраха, за да отбележат заедно една година от блажената кончина на ...
16.12.2017
Лекар: При установяване на бременността жените да се пращат на ендокринолог
Всеки акушер-гинеколог още с установяването на бременност трябва да изпрати жената ...
15.12.2017
Дядо Симон вече не е игумен на Бачковския манастир
Светият синод на Българската православна църква освободи от длъжност игумена на Бачковската ...
15.12.2017
"Земята е моя" в Темата на NOVA
Борбата за Йерусалим навлезе в нова фаза. Когато Съединените Щати се намесят в чужда ...
15.12.2017
Наша певица е жертва на системен и брутален интернет тормоз (ВИДЕО)
Вокалистката на Deep Zone Нелина Георгиева е жертва на системен и брутален интернет тормоз. ...
15.12.2017
Любовта се завръща в новия епизод на „Не така, брат!“ (ВИДЕО)
Любовните връзки на героите от „Не така, брат!“ претърпяват неочаквани обрати. В опит ...
15.12.2017
Най-мистериозните психически заболявания (ВИДЕО)
В забързаното ежедневие на всеки му се е случвало да му изгърмят бушоните в главата. ...
14.12.2017
NOVA и Нетинфо отпразнуваха успешната 2017 заедно с едни от най-популярните звезди у нас
На корпоративно коледно събитие NOVA и Нетинфо събраха звезди, клиенти, партньори и медии, ...
14.12.2017
Михаела Павлова от „София - Ден и Нощ“ влиза в уеб сериала „Следвай ме“
Мирът и щастието са напът да се възцарят между героите в уеб тийн сериала „Следвай ...
14.12.2017
Отличиха ПРОМЯНАТА като водеща социална иновация
Министерство на труда и социалната политика отличи ПРОМЯНАТА - най-голямата социално ...
14.12.2017
Единственият българин, победил Кличко, стана зам.-кмет на Тетевен
Свилен Русинов - единственият българин, победил световния шампион в тежка категория ...
14.12.2017
Пет хитови премиери и вълшебства в Деня на Дисни по NOVA
Вълшебствата на Дисни и пет хитови премиери завладяват ефира в Деня на Дисни по NOVA ...
14.12.2017
Станете част от благотворителния търг на Дарик и „Ники Кънчев Шоу“
Днес от 8 сутринта до късно вечерта се провежда 8-то издание на големия благотворителен ...
13.12.2017
Престижни награди за екипа на Новините и лицата на NOVA
В края на годината, поредно признание за професионалната работа на екипа на NOVA дойде ...
13.12.2017
Наградиха пожарникарите, спасявали хора при жестоката катастрофа край Микре
Десет пожарникари от районната служба в Ловеч, участвали при спасяването на 22 пострадали ...
13.12.2017
Най-голямото кулинарно шоу Hell’s Kitchen завладява България
Световноизвестното риалити състезание за професионални готвачи Hell’s Kitchen стартира ...
13.12.2017
Образованието и сексът намаляват риска от развитие на старческа деменция
Деменцията е по-разпространена сред жителите на селските местности, отколкото сред ...
13.12.2017
Историята на Мария, която спаси шофьор на тролей, влезе в учебник по английски език
В час по английски език шестокласниците от Основно училище "Кирил Христов" в Стара ...
12.12.2017
Продават за милиони ръкопис на маркиз Дьо Сад, писан в Бастилията
Ръкопис на романа "120-те дни на Содом", който маркиз Дьо Сад пише, докато е затворен в ...
12.12.2017
Vbox7.com среща онлайн звездите на България с фенове
В навечерието на Коледа специална празнична онлайн среща с някои от най-големите родни ...
12.12.2017
Втората група от български полярници заминава за Антарктида
Втората група от български полярници от 26-ата Национална антарктическа експедиция ...
12.12.2017
Активните зрители избраха Big Brother: Most Wanted
Близо 30% от активното население в България (18-49 г.) проследи сезоните VIP Brother 2017 и Big Br...
12.12.2017
“Дъвка за балончета” оглави боксофиса в първия си уикенд на голям екран
С близо 11 200 зрители новият български филм “Дъвка за балончета” оглави родния боксофис ...
12.12.2017
Николета Лозанова дебютира с роля в най-новия български филм „Привличане”
Трейлърът на най-новия български филм „Привличане” бе представен за първи път пред ...
12.12.2017
Сурогатна майка шантажира д-р Хинова и доцент Мазов в „Откраднат живот“
Довечера зрителите ще се пренесат във времето след 4 изминали месеца в МБАЛ „Св. Кирил“, ...
12.12.2017
Джони Холидей беше погребан на остров Сен Бартелеми
Джони Холидей - голямата звезда на френския рок, беше погребан на малкия остров Сен ...
12.12.2017
Посланикът на Дания Сьорен Якобсен патрон на благотворителен търг
Коледният благотворителен търг на „Ники Кънчев шоу", спортно шоу „Гонг" и сайтът www.gong.bg ...
12.12.2017
Киберсигурността и умните градове на фокус в 10-то издание на Webit (ВИДЕО)
Умните градове и киберсигурността ще бъдат на фокус в 10-то издание на Webit. Форумът ...



