Последни
Региони
Кюстендил
Разград
Варна
Пловдив
Габрово
Шумен
В. Търново
София
Ст. Загора
Хасково
Русе
Бургас
Добрич
Благоевград
Враца
Плевен
Кърджали
Монтана
Сливен
Ловеч
Перник
Ямбол
Търговище
Силистра
Пазарджик
Смолян
Видин
Всички
1°
София
София
Обновена в
08:43
часа
1°
Усеща се
1°
Предимно облачно
Пълна прогноза на
Sinoptik.bg
Кюстендил
Разград
Варна
Пловдив
Габрово
Шумен
В. Търново
София
Ст. Загора
Хасково
Русе
Бургас
Добрич
Благоевград
Враца
Плевен
Кърджали
Монтана
Сливен
Ловеч
Перник
Ямбол
Търговище
Силистра
Пазарджик
Смолян
Видин
България
Парламентарни избори
Бизнес
Свят
Интервю
Коментар
Любопитно
Технологии
Общество
News in English
В снимки
Спорт
Любопитно
24.02.2024
Фермерската съпруга Галена разплака от смях всички във Вилата на любовта
24.02.2024
Експерти съветват: 7 начина как да намалите времето, което прекарвате на телефона
24.02.2024
Незабравими истории и вълнуващи сюжети в „Треска за Оскари“ по KINO NOVA
24.02.2024
Лекарят съветва: Никога не смесвайте алкохол с тези лекарства
24.02.2024
Внимание, стресът може да доведе до ужасяващи последици за здравето
24.02.2024
Бабините рецепти: Народни средства за борба с упорита кашлица
24.02.2024
Изследователи: Неврологично разстройство може да е помогнало за оцеляването на човечеството
23.02.2024
Полицаите Маргарита и Кристиян триумфираха в първата индивидуална игра в „Един за друг“
23.02.2024
Тревожно откритие: Изследване откри микропластмаси в човешката плацента
23.02.2024
Мъжете се изправят срещу изкуствения интелект в "Един за друг"
23.02.2024
Идентифицираха неутронна звезда, наблюдавана през 1987 година
23.02.2024
„Най-старото куче“ в света загуби посмъртно титлата си
23.02.2024
Отново със свободно сърце: Том Круз се раздели с руското си гадже
22.02.2024
Втори изгонен от Hell’s Kitchen 6
22.02.2024
Обучаващи се журналисти отразяват местните новини в окръг на Вирджиния (ВИДЕО)
22.02.2024
Още един участник си тръгва от Hell’s Kitchen тази вечер
22.02.2024
Как да се справим с мухъла и конденза
22.02.2024
История за справедливостта: „Есента на демона“- продължението на хитовия сериал „Дяволското гърло“
22.02.2024
Невъзможната любов на Кемал Ататюрк с една българка
22.02.2024
Французин открадна над 7000 бутилки вино в Бургундия
22.02.2024
Учени са открили как китовете пеят и огласят океана
22.02.2024
Растителната диета намалява риска от сънна апнея
22.02.2024
Откриха признаци за наличието на океани на две планети джуджета в Слънчевата система
22.02.2024
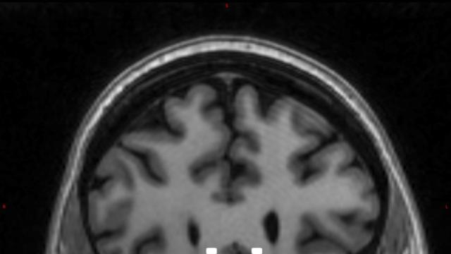
Мозъчен пейсмейкър може да се използва за тежка депресия (СНИМКИ)
21.02.2024
Първият изгонен в Hell’s Kitchen 6 вече e ясен
21.02.2024
Не правете това, ако телефонът ви се намокри
21.02.2024
Какво ще сготвят Гатьо, Бони и Изи на шеф Ангелов в Hell’s Kitchen
21.02.2024
Проведе се Гала премиерата на „Уроци по немски“
21.02.2024
Изневяра и домашно насилие в премиерния епизод на „Любовни афери“ по NOVA
21.02.2024
Почетна „Златна мечка“ за Мартин Скорсезе на „Берлинале“ (СНИМКИ)
21.02.2024
Разводът на Кевин Костнър и Кристин Баумгартнер е финализиран
21.02.2024
Експерт посочи кои храни са безвредни за хапване преди лягане
20.02.2024
Жените триумфират в първата битка на Hell’s Kitchen 6
20.02.2024
Шеф Виктор Ангелов посреща 18 нови участници в Къщата на Ада
20.02.2024
Наоми Кембъл дефилира за „Бърбъри“ на Седмицата на модата в Лондон
20.02.2024
Кой е най-гледаният филм в киносалоните у нас
20.02.2024
Храмът „Света София“ в Истанбул има космат талисман
20.02.2024
Завладяващ спектакъл и скок с парашути на старта на дванадесетия сезон на „Като две капки вода“ (ВИДЕО)
20.02.2024
Учени откриха причината за лошия дъх в устата
19.02.2024
„Барби“, „Убийците на цветната луна“ и „Солтбърн“ останаха с празни ръце на БАФТА
19.02.2024
„Като две капки вода за всяко дете“ събра над 285 000 лева за превенция и закрила на децата от насилие
19.02.2024
Лъжат ли Денислава и Мартин? (ВИДЕО)
19.02.2024
Танцът Frevo - съчетание между руска полка, класически балет и афро-бразилски ритми (ВИДЕО)
19.02.2024
Как да поддържаме играчките на децата чисти
19.02.2024
От черупки на костенурки до бамбукови пръчки: Ястието с вековна история
19.02.2024
Откриха един от най-големите залежи на естествен водород в света
Виж още